DENTES EM 12H
Prótese Total Sobre Implantes
Mude a sua Vida num Dia
A nossa equipa médica tem disponível para si um tratamento de reabilitação oral que permite a colocação de uma prótese totalmente fixa sobre implantes num período inferior a 12 horas.
Com a colocação de apenas 4 implantes em cada maxilar, é possível fixar sobre esses implantes uma prótese dentária que substitui todos os dentes de cada arcada.
Como é o Procedimento?
1 | Planeamento
Depois de um estudo minucioso e de um planeamento correto e detalhado, são escolhidos os implantes adequados e o local exato onde vão ser colocados. Estes implantes vão servir de pilares à prótese dentária imediata.
2 | Cirurgia
Com anestesia local, os implantes são posicionados nos maxilares e é realizado um molde que permite ao nosso laboratório construir as próteses dentárias de acordo com as exigências funcionais e estéticas de cada caso.
3 | Colocação
No mesmo dia, a prótese é aparafusada sobre os implantes, e pode mastigar, falar e sorrir com toda a confiança e tranquilidade.
Vantagens do Tratamento
“Dentes em 12 horas”
- Realização de apenas uma cirurgia
- Procedimento rápido e indolor
- Maior conforto e estabilidade dentária
- Diminuição significativa da reabsorção óssea associada à perda de dentes
Como posso saber se este é o tratamento ideal para mim?
OPÇÃO 1 - CONSULTA DE AVALIAÇÃO
A forma mais rápida passa pela marcação de uma consulta de avaliação com o nosso departamento de Reabilitação Oral. Aí realizamos uma avaliação clínica e radiográfica exaustiva, e apresentamos o plano de tratamento mais adequado ao seu caso bem como o respetivo orçamento.
OPÇÃO 2 - ENVIAR FOTOS POR EMAIL
Em alternativa, e caso não possa comparecer presencialmente, poderá entrar em contacto com as nossas assistentes e enviar por email algumas fotografias da sua boca, de modo que possamos dar-lhe uma resposta mais concreta.
OPÇÃO 3 - ENVIAR MENSAGEM WHATSAPP
Pode-nos ainda enviar uma mensagem por Whatsapp para esclarecer as suas dúvidas e/ou agendar uma vídeo chamada para que possa esclarecer todas as suas questões.
Ainda com Dúvidas?
O Dr. Miguel Calhau explica-lhe em detalhe este tratamento
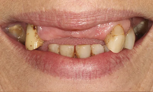
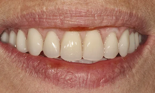
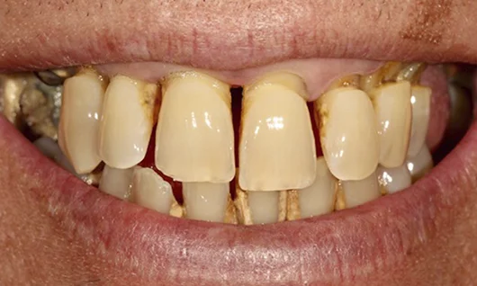
Casos de Sucesso




Perguntas comuns sobre “Dentes em 12h”
1 | Uso prótese removível há muitos anos. Posso optar agora por este procedimento?
O uso de próteses removíveis não impede que opte por este procedimento. Na sua consulta inicial, será feita uma avaliação clínica e radiográfica do seu caso, o que permitirá perceber se será ou não elegível para este procedimento.
2 | Quanto tempo terei de passar na clínica?
Este tipo de procedimento é por norma realizado no decorrer de um dia. Durante a manhã será efetuada a cirurgia, para remoção dos dentes remanescentes e colocação dos implantes. Logo depois será efetuado um molde que é de imediato enviado ao nosso laboratório. Durante a tarde, ficará na nossa clínica, numa sala privada, onde poderá desfrutar de todas as comodidades. As próteses provisórias serão entregues ao fim da tarde, e o procedimento é dado por terminado.
3 | Vou ter dor?
Não. Toda a cirurgia é efetuada com anestesia local. Durante o procedimento estará permanentemente monitorizado e a medicação analgésica será ajustada sempre que se justifique.
4 | Quando são colocadas as próteses definitivas e como se processa a substituição?
Após a sua cirurgia segue-se um período de integração dos implantes, que pode ir até 6 meses; nessa altura, voltamos a recebê-lo na clínica e iniciamos a construção das próteses definitivas. O processo inicia-se com um molde dos seus implantes não esquecendo a escolha da cor, forma, e brilho dos seus dentes. Os procedimentos laboratoriais demoram cerca de 10 dias e, nessa altura, as suas próteses definitivas ser-lhe-ão colocadas.
5 | Que tipo de manutenção exige este tratamento?
A reabilitação oral com próteses implanto-suportadas requer uma consulta de revisão anual. A manutenção de uma boa higiene oral e as visitas regulares ao seu dentista podem garantir que este tratamento dure várias décadas.
6 | Quanto custa este tratamento?
Depende de cada caso. Marque agora a sua Consulta de Avaliação inicial para ficar a saber tudo sobre o seu caso.